
牛黄,是指牛胆囊或肝胆管内自然生成的胆结石,其主要成分包括胆红素、胆酸、胆固醇等,具有清热解毒、息风止痉、开窍醒神等药用功效,广泛用于中药制剂中。由于形成机率极低,牛黄也因此成为高价值的中药材。
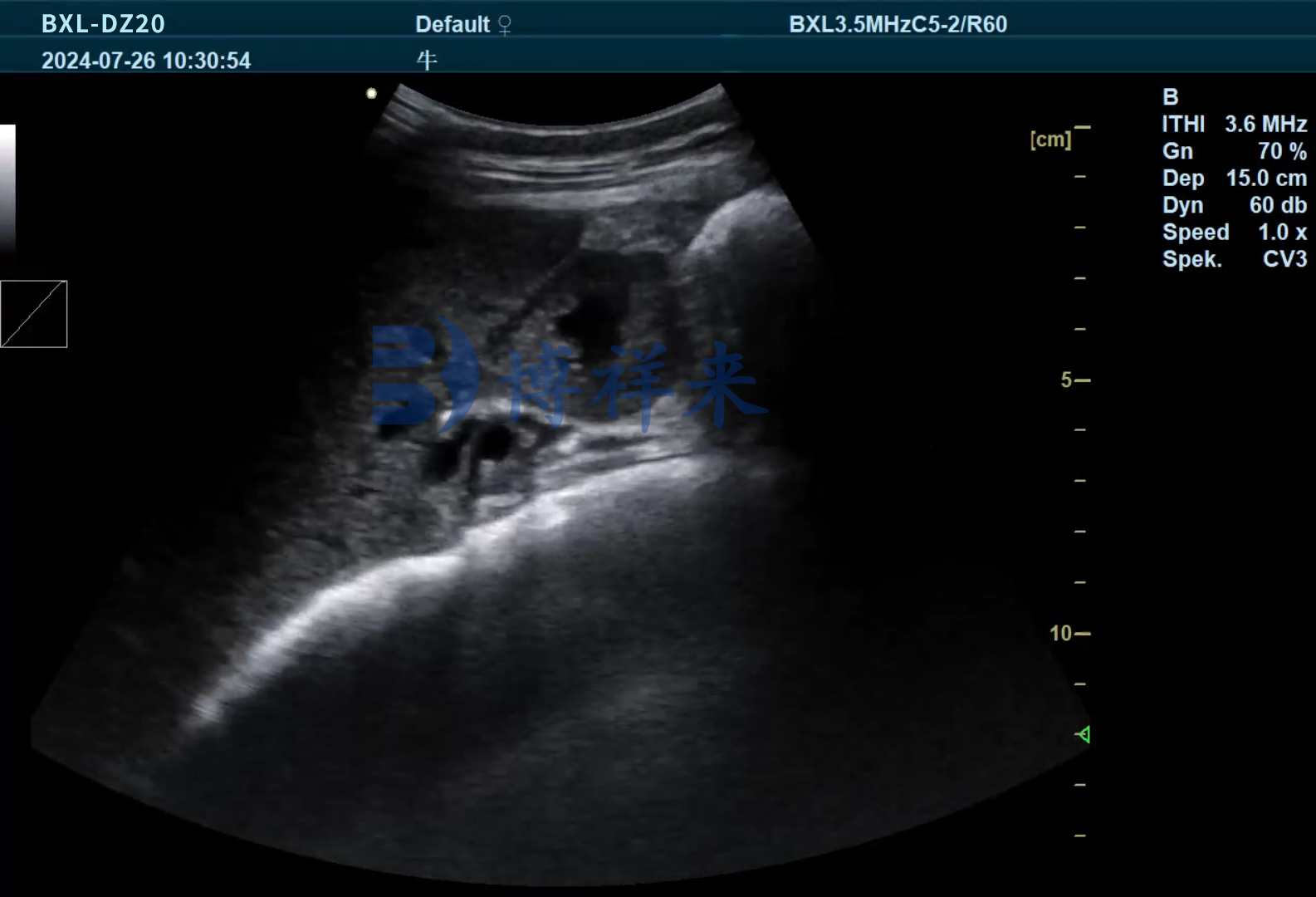
传统上,只有在屠宰时解剖胆囊才能“碰运气”发现牛黄。而现在,借助高分辨率的兽用B超机,可以对牛的肝胆区域进行实时影像观察,提前发现以下异常信号:
这些B超影像特征为判断牛黄存在提供了技术支持,尤其适用于高价值种牛、斗牛、或专门饲养牛黄的个体牛只的日常筛查与管理。

吉彩网 B超检查无需麻醉、不开刀,对牛体无伤害,操作过程快速,可重复多次使用。
吉彩网 通过定期检查,可及时发现可能形成牛黄的牛只,实现分群管理或重点饲养。
避免牛黄因未被发现而被浪费,也减少因屠宰方式不当导致的损坏风险。
对怀疑已有牛黄的牛只采取保值措施(如专项饲养、精准饲料搭配等),提升***终经济回报。
引入B超检测技术,不仅帮助发现牛黄,也有助于检测牛只妊娠、卵巢健康、肝胆疾病等,提高整个养殖水平。
作为专业兽用B超设备制造商,博祥来推出的BXL-DZ20等型号,配备高清成像微凸探头,特别适用于肝胆区域的深层组织观察,可用于检测胆囊结石、肝脏病变、卵巢状态等,是养殖场全面掌握牛只健康和附加价值的理想工具。
随着养殖模式的升级与市场对中药材的高需求,牛黄养殖成为一条值得探索的高价值副业。而牛用B超机的引入,则是这条增值路径中的关键一步吉彩网。博祥来将持续为养殖户提供精准、高效的检测设备,助力每一位养牛人挖掘牛只的“隐藏财富”。