产品名称:多普勒彩超机 BXL-S300 21天测牛怀孕
吉彩网产品型号:BXL-S300
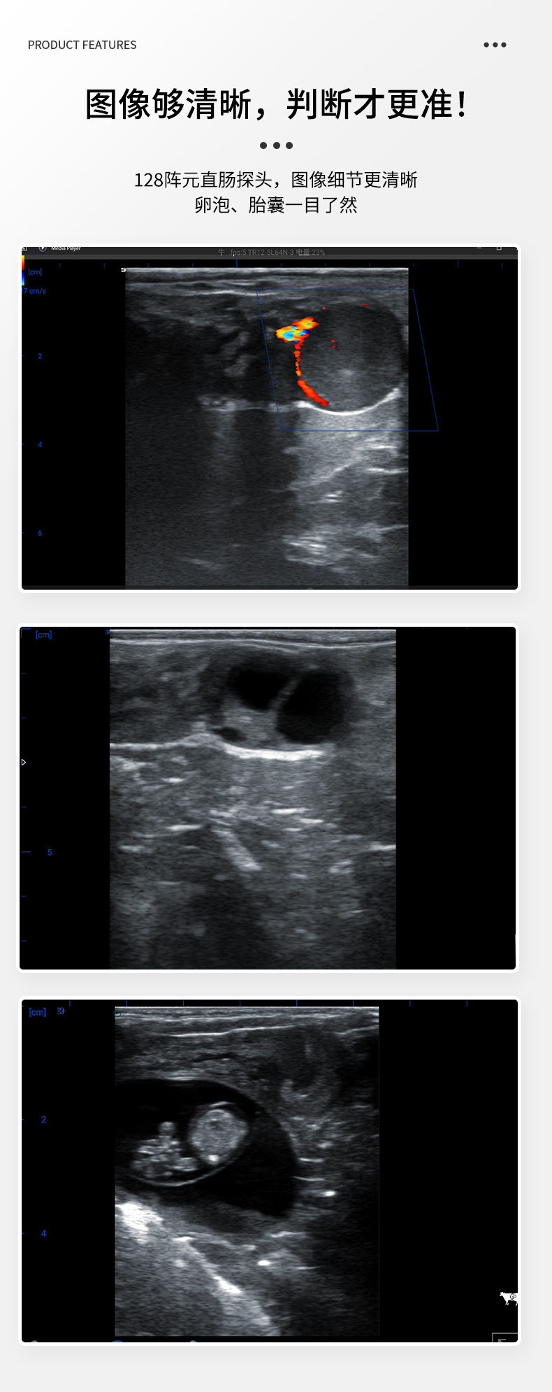
使用对象:牛马驴
吉彩网使用范围:21天测牛怀孕、子宫炎症卵巢检测,黄体卵泡发育
| 防水级别 | IPX7 | 通道数 | 32 |
| 内置锂电池 | ≥6小时 | 超声系统扫查模式 | B、B/M、M等多种显示模式,多普勒彩超模式 |
| 测量单位 |
可cm/mm调节,可精确到0.01级别
|
无线显示 | 支持WiFi无线链接手机平板 |
| 系统灰阶 | 256级 | 片段增益 | TGC八段可调,TGC可一键调节 |
| 主机探头 | 128阵元 | 测量和分析 |
支持距离、周长、面积、圆面积等基础测量,
具备多种动物专业产科分析软件包,≥50种动物产科测量种类。 心脏测量等多种测量功能 |
| 智能测量 | 支持智能测量背膘厚度、眼肌面积功能 | 体标 |
猪牛羊马驴(胚胎、卵巢、子宫、泌尿系统、背膘、臀部等不同部位体标)等不少于60种体标
|
| 存储 |
静态图像存储及预览,保存图片时可在图像上添加动物体标、
动态电影图像存储及回放,可扩展。 可每帧图像进行编辑、添加图标后进行保存。 |
动物报告 |
可自动读取电子耳标,可收集智能化设备数据,可通过耳标号进行图像、视频归档。
可编辑动物耳标号、各种状态等,保存此动物影像图片时,有拍摄动物照片来进行对应功能。 无线连接打印机 打印检测报告 |
| 重量 | 整机重量400g | 主机尺寸 |
193*91*32 mm (长×宽×高)
|
| 图像帧频数 |
60帧/秒
|
软件版本 | 动物专用版本V3.0.0 |








注意:非正常使用自行拆机造成的损坏不在保修范围内。
提示:请妥善保管你的保修卡和购买凭据以备保修之用。
吉彩网产品自购买日起90天内有质量问题包换新机,一年内凭保修卡维修。