羊用B超机超声检查通过不同路径形成的是可靠的诊断工具用于妊娠早期诊断,确定胎儿数量和公母,以及GA的估算山羊怀孕。超声的***新进展软硬件技术都有产生了卓越的图像超声波在山羊医学中的广泛应用。
羊用B超机估算胎仔数
山羊饲养者要先将怀单胎和多胎山羊区别开,分开饲养,根据胎儿的数量适当喂养,也减少预混饲料成本,更有效利用补充谷物。在怀孕100天时可以确定胎儿的数量,但***佳时间是妊娠40至70天之间。为了避免检测失误,使用前禁食和检查过程中抬起腹部有效。胎儿计数期间,操作员应缓慢在同一级别上从右向左扫描以定位怀孕。之后,扫描方向运动应垂直于***组不同级别的动作覆盖整个动作系统地扫描区域,以避免扫描同一胎两次。
羊用B超机胎儿公母决定确定
山羊的胎儿公母可能会更好规划收购和商业化动物,胎儿的公母判定可通过外生殖器的可视化确定(阴茎,包皮,阴囊袋,乳头和生殖器肿胀)和/或定位生殖器结节(GT)。当GT靠近子宫时,假牙被确定为公羊。当GT靠近母线时,脐带和母线尾巴确定为母羊。
在妊娠46至48天之间,GT迁移有完成后,可以用相同的方法进行胎儿公母鉴定雌雄山羊胎儿的准确性。准确的方法是根据GT的***终位置和标识从怀孕第55天开始的外生殖器,但公母的准确性会随着胎儿从单胎增加到三胞胎。
第二次超声检查结果(50-100天)和三个月(>100天)从中期开始,经直肠超声检查变得不足,而经腹途径必须使用,因为怀孕的子宫会下降颅腹方向。胎儿生存能力检查是通过测量FHR和胎儿运动来执行。此外,许多胎儿器官(消化道,肝脏,肾脏和膀胱)很容易被发现。胎骨由于钙化增加,被认为是高回声的位置。头骨,面骨,脊柱和肋骨是首先显示为高回声线。在除了胎儿的体细胞生长,不同的胎儿动作是检测到清楚地。2005年报道说,从受孕后第80天开始观察到口器向前。怀孕100天后,仅胎儿的身体部位通过腹部途径可见。在这个阶段***好使用扇形探头,因为它们需要减少与皮肤表面的接触,从而减少准备和检查所需的时间。关于山羊怀孕长度可以参考
羊用B超机检测绵羊和山羊的怀孕长度
羊用B超机对胎儿年龄的测定
准确估计胎儿年龄是适当的产前管理。估计胎儿年龄对于监测胎儿的状况非常有用胎儿和母亲,限制等临床问题胎儿发育或遗漏观察到的胎儿时间。交配日期是未知,小动物的GA估计为生殖管理(即干燥)的理想选择在适当的时候哺乳的雌性,在怀孕早期胚囊***大直径在横截面图像中可用于估计GA。在怀孕第二和第三个月,为此进行了几次胎儿测量应用。
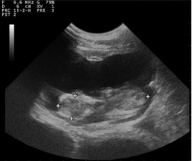
羊用B超机对冠臀长(CRL)测量定
冠臀长通常被认为是可靠的脚气测定法中的参数。测量应为从牙冠(头骨的***上部)取到的臀部(结束的ac骨)(图1和2)什么时候的胎儿完全伸展。GA和CRL之间的高度相关性在不同品种的***个和第三个中期。CRL是确定GA的可靠参数(r=0.99)早怀孕。得出了一个新公式,发现是确定GA的方法非常准确:y=24:42+0:39X其中Y=胎龄,X=CRL。但是,无法执行此测量随着怀孕的进行准确;较低的错误高山山羊胎儿有相关系数的报道在妊娠第33天至146天之间。

图1胎儿上冠状臀围长度的超声图像妊娠40天

图2 胎儿上冠状臀围长度的超声图像妊娠55天
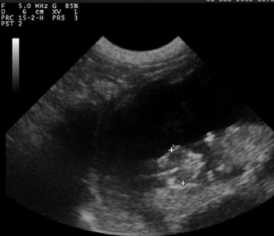
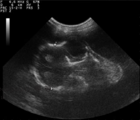
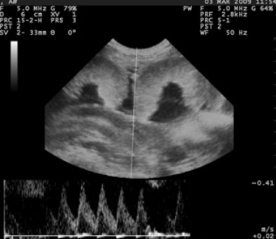
羊用B超机对双顶径(BPD)的测定
BPD的超声测量是常规的在产前检查和估计期间进行各种山羊品种中的GA含量,测量的标准BPD如下:尽可能椭圆形,封闭头骨表轮廓,大脑中线分裂克将半球分成两个等距的部分并测量-取自近端的外表面颅骨到远端颅骨内表面。头部扫描应在轴向平面上进行。图像对称性对于准确测量至关重要。很高相关性之间妊娠中期GA和BPD已经升高,BPD是也很难之后测量胎儿出生后第95天胎儿其他部位压迫头部,和也的变化性的胎儿的位置和姿势。因此,据报道,相关系数较低第60至135天之间的韩国黑山羊妊娠。
羊用B超机对躯干直径(TD)的测定
胎儿身体的***大直径被测量为***大横截面直径脐带交界处的腹部静脉和异味。临床医生可以在妊娠晚期使用TD无法测量CRL和BPD时。TD已经据报道比CRL和BPD更相关GA在韩国黑山羊中的含量(r=0.88)和埃及本地山羊(r=0.96)
羊用B超机对山羊胎儿轨道
胎儿眼眶的直径应从头部的侧视图,当头部变圆并处于***大尺寸。

图3超声检查图片的双顶直径上胎儿在妊娠40天

图4超声图像上的双顶径胎儿在妊娠70天
在57至70之间的红色山羊胎儿中的GA124天。轨道直径与轨道之间的相关性(r=0.87),GA孕妇在60到60天之间怀孕135妊娠。
心脏的长轴和短轴在绵羊中,胎儿心脏在第44-63天清晰可见妊娠,心脏腔和瓣膜明显不同从妊娠第97天到第103天有危险。2007年报告了一个高相关性羊胎心直径与GA之间的关系在怀孕40到100天之间。长和胎儿心脏的短轴应从舒张期四腔切面的横截面胎儿身体运动缺乏的状态耳鼻喉科。据我们所知,只有一项关于胎儿心脏的研究直径和GA在山羊。根据从绵羊胎儿研究中获得的结果es,它有一个与长轴和短轴以及GA高度相关(分别为r=0.91和r=0.88)。
羊用B超机对山羊胎儿心率(FHR)
心跳频率可以通过高科技超声(图5)的胎心率下降)。一种据报告,FHR的下降趋势相似山羊怀孕。FHR与据报道埃及原生山羊的胎儿年龄(r=0.55)和Saanen山羊(r=0.77)(图6)

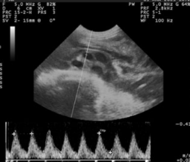
图5测量的胎心率从脐带的动脉在妊娠130天和脐带横切面

图6超声检查图片的子叶在55100天的妊娠
主动脉,脐带和静脉的直径主动脉的直径应从长轴横截面左心室流出胎儿缺乏身体运动期间的视图
脐带和静脉的直径可以是在两个地方测量,身体的入口和1个距入口厘米,然后平均直径可以被计算。脐静脉内径可以通过获得电缆在***大放大倍数后紧跟卡钳放置在容器的内边缘(图5)主动脉,脐带和静脉的直径不能使用脚踏测量法可以可靠地看到估算GA,例如CRL,BPD和TD
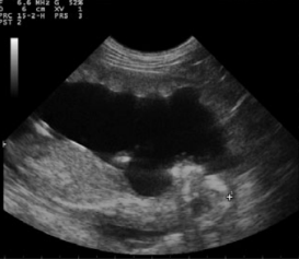
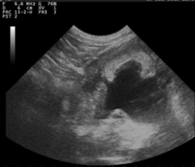
在山羊怀孕中胎盘大小,胎盘被视为凹圆形,导致C形或O形灰度图像,具体取决于切片,针对无回声的胎儿液体(图7和8)。为了获得准确的测量结果,胎盘的直径(2-5)。一种清晰的报道胎盘的可视化来自***学期中期至第二学期末三个月。胎盘直径进行了评估GA交配;但是,它的相关系数很低(r=0.45,r=0.57,r=0.70)与GA。胎盘素很难在大约搭档100天的妊娠,结果测量保证对于确定阶段是不可靠的

图7妊娠100天时子叶的超声图像

图8山羊胎儿在此期间的平均胎心率怀孕
这时怀孕仅测量***大的胎盘组扫描领域可能会导致更高的系数测定(r=0.86)。
以上是羊用B超机在山羊中的具体应用,更多内容可以持续关注本网站
katielheureux.com