牛用B超在奶牛繁殖中可以及时判读妊娠情况,繁殖评估及胚胎移植中的应用,博祥来提供牛用B超机上门培训.咨询热线:18337173261
牛用B超机的成像原理与图像识别
超声波和普通声音一样能向一定方向传播,可以穿透物体,如果遇到障碍就会产生回声,不同的障碍会产生不同的回声,反映在屏幕上的图像和颜色就各不相同。B超图像的颜色以黑白灰为主,黑色为液体,白色为骨骼,灰色为肌肉。
B超的现场操作:
开机并将目镜或屏幕调至适合状态
手握探头贴紧肠壁伸入直肠
到达子宫将探头横于子宫体确认图像
进一步确认延双侧子宫角下行
了解卵巢状况在子宫角大弯两侧确认图像
注意:①进入直肠时不清除宿粪,会耽误时间,而且会造成直肠强烈怒责,增加操作时间,造成判断失误;②探头横于子宫体。

子宫成像:青年牛子宫角直径1.5-2cm,灰色;成母牛子宫角直径2-4cm;发情牛一侧子宫角开张,子宫内膜增生,发情时子宫颈口和阴道分泌粘液,流入子宫,子宫角呈现黑色。

卵巢成像:卵巢灰色,黑色为卵泡内液体;因无卵泡,显示灰色;含2个卵泡。

卵泡成像:2个卵泡;1个发情卵泡,直径在2cm左右。

黄体成像:这是功能黄体,发情周期在10天以上;卵巢黄体显示灰黑色,与人体肝部成像相似,类似于杨梅这种水果。
牛用B超机妊娠应用

怀孕子宫:正常子宫呈灰色;怀孕子宫一侧角呈黑色,预示可能怀孕;2个角呈灰色,下面呈黑色。

怀孕子宫:怀孕30天子宫空腔内黑色为胚胎,直径1cm左右;33天胚胎直径为1.3cm左右,可检测到胎心;39天胚胎直径2cm左右。

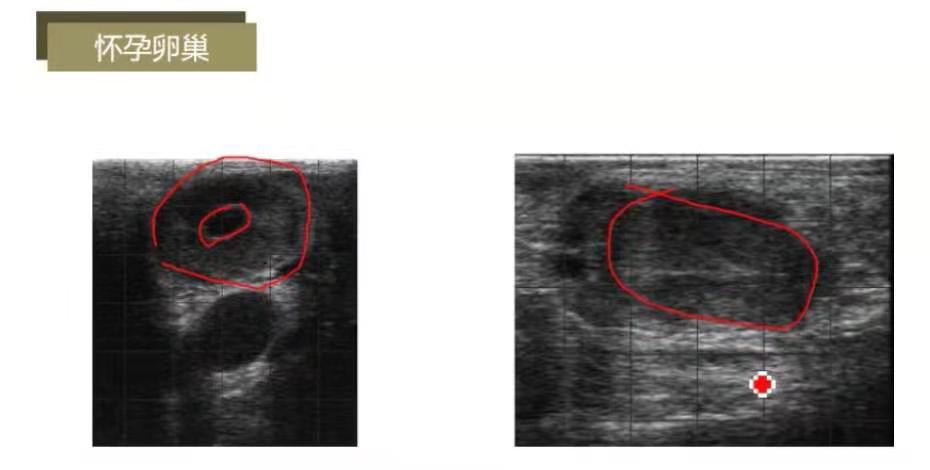
怀孕卵巢:妊娠黄体体积大致密,有一条白线,这是怀孕牛的标志;妊娠黄体,短白线;妊娠黄体无白线。

怀孕卵巢:卵巢有空腔,体积大,致密;

妊娠黄体有白线比例达到75%,白线为妊娠黄体的标志,黄体空腔不断填充后塌陷形成致密组织,因而会成白色。

双妊娠黄体为排双卵导致。***主要根据生殖器官的不同来甄别。
妊娠总结:
繁殖各部器官均可通过黑,白。灰三种颜色很好的区分,唯有黄体较为复杂需仔细分辨。
妊娠检查***早可以在28天进行,需人与设备到达相应的状态才可实现,否则应循序渐进。
确定怀孕的三要素,空腔,胚胎和妊娠黄体,满足其中两个条件即可判断妊娠。
牛用B超机繁殖评估应用
1、发情周期评估

发情周期黄体:4天的黄体空腔直径小于2厘米
发情卵泡:发情卵泡,***个卵泡波的优势卵泡,***个卵泡波的闭锁卵泡
2、产后状态评估

产后子宫炎:产后21天内称为子宫炎,21天后称为子宫内膜炎。评估时间产后24-30天。轻度子宫角雪花状点状,面积越大炎症反应越重
产后子宫状态:子宫内有积液
3、同期程序评估

同期程序0789方案的评估节点为第7天打PG时的卵巢状态,即有双黄体是***佳状态。左图为实心黄体+空腔黄体+优势卵泡,说明同期程序执行较好;右图为空腔黄体+优势卵泡,预同步的几针无效或复旧较晚。
4、难孕牛评估
泌乳天数超过150天或者配次超过4次即划为难孕牛。可进行B超检查,了解子宫卵巢状态。患子宫肌瘤、卵巢萎缩、卵巢硬化等严重疾病的牛只可列为禁配,患有轻度子宫内膜炎、卵巢囊肿等疾病但可通过治疗恢复的牛,因卵泡波段有问题的牛只均可选择不同的方案来处理难孕牛,使其怀孕。
5、繁殖疾病评估

卵巢囊肿:现在牧场卵巢囊肿比例比较多,很多牧场超过了10%,如果1个卵巢上卵泡直径超过3.5-4cm,卵巢上有2个以上的2.5厘米以上的大卵泡即为卵巢囊肿。根据卵泡壁薄厚来决定,分为5个级别:一级囊肿为卵泡囊肿,放置24天阴道栓,有频繁发情的状况;二级囊肿卵泡壁在2毫米左右,是卵泡囊肿的黄体化,7天阴道栓结合2针PG,一周过后进入同期程序;三级囊肿卵泡壁超过2毫米,大约4毫米,一侧不会影响对侧卵巢功能;四级囊肿卵泡壁在5毫米左右,对侧正常不处理;五级囊肿为黄体囊肿萎缩,不用处理,直接进入程序。
牛用B超机胚胎移植应用

受体黄体质量:一般选择6-8天
受体子宫环境:一般选择青年牛,成母牛需要检查子宫内环境
总结
牛用B超在奶牛繁殖方面可以实现很多功能,绝不仅仅是早期妊娠检查,还有繁殖疾病和同期程序的评估等。
牛用B超根据子宫和卵巢的情况以及评估的同期方案,可以制定出一套适合于牧场的高繁殖力的程序与方案。各个繁殖阶段如果有B超的精准参与繁殖效率将会有很大的提升,受胎率也将会更上一个新阶段。